Charcot Foot
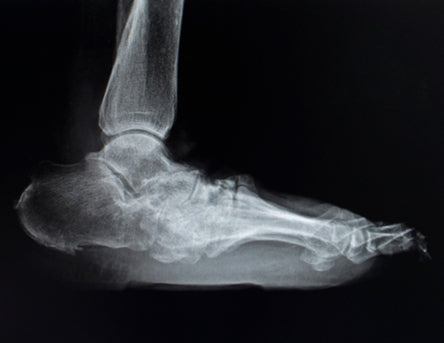
When Your Foot Has a Rocker-bottom Appearance
Charcot foot is a deformity of the foot that results from nerve damage (neuropathy) in the foot or in the ankle. The nerve damage causes the bones to weaken and eventually fracture, and with continued walking, the foot eventually changes shape. Charcot foot is a serious condition which can lead to severe deformity, disability, and even amputation; therefore it is extremely important to get proper medical treatment in the early stages.

It is important to get proper medical treatment in the early stages of charcot foot.
What Is Charcot Foot?
Charcot foot develops as the result of neuropathy and repeated injury of the foot. There are different stages of Charcot foot, the progression of which takes place over time and worsens with continued walking. The condition can begin with redness and swelling and can eventually result in severe deformity and abnormal rocker shape of the foot.

People who have neuropathy in the feet are at risk of developing this condition.
What Causes Charcot Foot?
Charcot foot develops as a result of neuropathy. Neuropathy decreases the ability to feel temperature, pain, or trauma. It can be caused by conditions such as diabetes, mellitus, leprosy, syphilis, poliomyelitis, chronic alcoholism, or syringomyelia.
In the beginning stages of this condition the weight-bearing joints start breaking down and the foot may be warm to the touch. Pain or soreness may occur. The foot is easily injured and fractured, at times by just putting weight on it. Because people with neuropathy have diminished sensation in their feet, the patient may continue to walk even after a fracture has occurred. This can result in numerous injuries and fractures to the foot without the patient ever noticing.
Over time the foot takes on an abnormal shape, such as a rocker-bottom appearance. The fractures and dislocations can result in severe deformities to the foot and ankle which can include the collapse of the midfoot or instability of the back the foot and the ankle.
What Can I Do to Treat Charcot Foot?
If you have Charcot foot it is important to begin treatment with a doctor as early as possible because the foot can be repeatedly worsened by walking. This can result in a rapid progression of the pathology. Early radiographs will show soft tissue swelling and bony fragmentation. Joint dislocation may be seen just several weeks after onset. Make sure to follow a treatment plan from a doctor. Failure to do this can lead to ulcers and possible amputation.
The early stages of Charcot foot can be treated without surgery by protecting the foot and ankle so the weakened bones can heal themselves. A modification to your level of activity will most likely be needed to prevent injury or repetitive trauma. Non-surgical treatment can include immobilization, in which the patient is not allowed to put any weight on the foot until the surgeon determines it is safe to do so. Additional non-operative treatment could include a protective splint, shoes with special inserts, bracing, or a cast. These things may help to prevent further injury to the foot.
If the Charcot deformity is severe enough, surgery may be necessary. A foot and ankle surgeon will help determine when this step needs to be taken and the appropriate procedure.
Because of the seriousness of this condition, it is important that anyone having a disease associated with neuropathy (such as diabetes) take preventative measures and seek immediate medical attention if the symptoms appear. Get regular checkups from your foot and ankle specialist and follow all instructions for prevention and instructions for treatment to prevent reoccurrences. You will want to be very careful to avoid injury to the foot, such as overdoing an exercise program.
Those who are in the early stages of the condition may benefit from using a depth shoe with a firm rocker bottom such as the New Balance 928. Combining a Pressure Relief Insole with a good shoe can offer some good protection for the foot. Take extra care to make sure the shoe is sized properly and that the toes are not hitting the end of the shoe. As the condition progresses a more customized shoe and orthotic may be necessary.